2006年VOA标准英语-Fetal Stem Cells Created Without Destroying Emb(在线收听

By David McAlary
Washington
23 August 2006

A U.S. biotechnology company has developed a way to create human embryonic stem cells for disease research and treatment without destroying the fetus they come from. The researchers say their technique solves the ethical problems involving the traditional procedure in which a fetus is killed.

-------

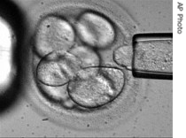
In this photo made available by Advanced Cell Technology, a single cell is removed from a human embryo to be used in generating embryonic stem cells for scientific research
In this photo made available by Advanced Cell Technology, a single cell is removed from a human embryo to be used in generating embryonic stem cells for scientific research
   
     
A team at the firm Advanced Cell Technology in Massachusetts has generated new lines of human embryonic stem cells while leaving the embryos intact.

Stem cells are master cells in embryos that can become any kind of tissue as the fetus develops. Scientists say the cells hold out hope as cures for many diseases if they can be injected into patients and stimulate the growth of healthy replacement tissue.

The standard method of obtaining stem cells has been to extract a large number of cells from an embryo at its blastocyst stage, when it is about five days old and has divided into about 100 cells. This method destroys the fetus and is very controversial.

President Bush has banned U.S. government funding for any research using embryonic stem cells created after August 2001, a decision opposed by most stem cell researchers and which Congress tried, but failed to overturn recently.

The Advanced Cell Technology group says its method avoids ethical objections by extracting only a single cell from each embryo at an earlier stage of development, leaving the rest to develop.

"We have shown that we cannot only generate stem cells without destroying the embryo, but that that remaining embryo also has the potential to go on to create a healthy hatching blastocyst," he said.

This is project leader Robert Lanza, speaking to interviewers for the journal Nature, where the research appears.

"What we're actually doing is removing a single cell from an eight-cell stage embryo, and then we actually culture that cell in the petri dish, and are actually able, though various manipulations, to create stable embryonic stem cell lines," he added.

Lanza says stem cells obtained this way are identical to those obtained by the traditional method. He says the new approach should satisfy President Bush and others who have opposed stem cell research because it killed embryos to obtain tissue.

However, some stem cell scientists complain that Lanza's technique is not as efficient as the standard method.

It also does not satisfy pro-life groups such as the U.S. Conference of Catholic Bishops. Spokesman Richard Doerflinger says the single cell it uses could develop into a twin if not cultured into stem cells. Furthermore, Doerflinger says the U.S. government's National Institutes of Health says some fetuses that have had a single cell removed for genetic diagnosis do not survive, while others that come to term are sometimes born with subtle defects.

"We're seeing a number of ethical problems in this. The procedure they are talking about of picking off a single cell from an early embryo is not as benign as they say," he explained.

Robert Lanza says the procedure is still too new to use immediately, but is worth studying. His company is offering stem cell lines it has developed free to scientists.

  原文地址:http://www.tingroom.com/voastandard/2006/8/34130.html